대상포진 초기증상 사진
- 건강
- 2020. 10. 24. 19:55

대상 포진은 수두 와 같은 바이러스 인 수두 · 대상 포진 바이러스 (VZV)가 원인으로 생기는 병으로 수두에 걸린 적이 있으면 누구라도 발병 할 수 있습니다. 오늘은 대상포진 초기증상과 함께 치료방법에 대해 알려드리겠습니다.
대상 포진 원인

수두 대상 포진 바이러스 (VZV)에 처음 감염되면 수두 발병합니다. 그 때 신경절에 대상포진 바이러스가 잠복을 하게되고 면역력이 약화되거나 어떠한 원인으로 바이러스가 다시 활성화되면 대상 포진이 발병하며 대상포진 초기증상이 나타납니다.

즉, 대상 포진의 원인은 이전에 감염된 바이러스가 다시 활성화된것으로, 바이러스에 감염 즉시 수두가 발병되고 이때는 대상포진은 증상은 없습니다. 대상포진 바이러스가 다시 활성화하는 요인으로는 연령, 질병이나 약물 등으로 인한 면역력 저하, 수술, 방사선 조사 등을 들 수 있습니다.
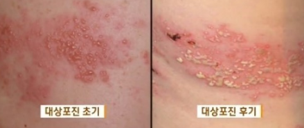
대상포진 초기증상
대상포진 초기증상은 신체의 한쪽에 통증이나 가려움이 나타납니다. 그리고 자극이 없는데도 통증이나 저림을 느끼는 등 평소와 다른 인식하는 지각 이상 등을 느낄수도 있습니다. 이러한 대상포진 초기증상은 4~5일 정도 계속하는 것이 일반적입니다. 감기와 비슷한 증상이 있기에 감기로 오해하기으나 대상포진 초기증상 사진과 비슷한 현상이 나타나다면 의심해야합니다.




그 후, 피부에 벌레 물린 같은 붉은 반점이 나타나면서 미열이나 림프 부종, 두통 등의 증상을 수반하기도합니다. 이어 홍반에 물집이 생기면서 1 주일 정도로 조직의 결손이나 염증이 일어납니다. 이때는 또 일반 피부병인 것으로 오해하기도하기에 대상포진 초기증상을 잘 살펴봐야합니다.
대상 포진은 수두 를 일으키는 바이러스가 다시 활성화함으로써 발생하는 증상으로 몸의 한쪽에 띠 모양으로 나타나는 통증이나 마비, 피부 발진 등이 특징입니다. 걱정되는 대상포진 초기증상 사진과 같다면 빨리 진찰을 검토하도록합시다.
대상포진 초기증상 사진





대상포진 초기증상이 지나 진행이 되면 환부는 살짝 닿을 정도의 자극에도 민감하게 반응하고 심한 통증을 느낄 수 있지만 2 주~ 3 주 정도가 지나면 딱지가 탈락하고 치유된다고 합니다.
드문 경우지만 환부가 곪아 물집이 찢어지면 세균 감염이 일어나 피부에 흉터가 남을 수도 있습니다.


그 외에도 환자의 약 10 %에 대상 포진 후 신경통 , 피부 발진이 치료 된 후에도 부위에 만성 통증이 따르기)이 발생한다고되어 있습니다. 특히 고령자에서 볼 수있는 것이 많아, 밤에도 잘 수 없을 정도의 강한 통증이 나타나기도합니다.

대상포진 발생 과정








몸의 면역력은 노화, 피로, 스트레스 등으로 일상에서도 쉽게 저하될수 있습니다. 건강한 경우 면역력이 강하기 때문에 수두 · 대상 포진 바이러스의 활동은 억제되어 있지만, 면역력이 저하했을 때 다시 활동, 증식으로 인해 대상 포진이 될수가 있습니다. 대상포진 초기증상이 발생했다면 최대한 빨리 병원에 가시길 바랍니다.
대상 포진의 발병 부위



대상 포진은 척수 신경과 뇌신경의 신경절로 이어지는 곳이면 대상포진 초기증상은 어디든지 발병 할 가능성이 있습니다. 예를 들어, 눈으로 이어질 신경 확산과 눈 감염, 시각 장애 로 이어질 수도 있습니다 ( 안부 대상 포진 ). 또한 귀에 이어지는 신경에 퍼지면 안면 부분 마비 또는 난청 , 현기증 등이 발생하는 경우도 있다고합니다 (귀 대상 포진 또는 램지 헌트 증후군 ).
대상 포진의 치료

대상 포진은 기본적으로 증상으로 판단 할 수 있으나, 대상포진 초기증상시 벌레 물린 이나 다른 피부 질환 등과 감별을 필요로 할 수도 있기 때문에 진단은 피부 발진 바이러스 항원 검사를하는 것으로 확정됩니다.
치료는 주로 항 바이러스 약물의 주입이 이루어집니다. 항 바이러스 약물은 피부 발진이 나타난 후 72 시간 이내에 투여하는 것이 바람직하다고되어 있지만, 물집이 증가하고 있거나 통증이 강한 경우에는 나중에에서도 치료를 시작합니다.
심한 경우는 입원을하고 링거를 할 수 있습니다. 다른 부위의 보호를 위해 백색 바셀린이나 세균 감염을 막기위한 화농성 질환 외용약이 처방되거나 통증에 진통제를 처방 할 수도 있습니다. 합병증이나 심각한경우 친경 차단술을 쓰기도 합니다. 대상포진 초기증상에 유의하셔서 신속한 치료 하시길 바랍니다.


대상포진 예방법



덧붙여 한 번 대상 포진이 발병하면 다시 바이러스에 대한 면역력이 높아지기 때문에 치료 후 재발의 가능성은 4 % 정도로되어 있습니다.
'건강' 카테고리의 다른 글
| 오십견 증상 단계별 (0) | 2020.10.25 |
|---|---|
| 피부 묘기증 원인 사진 (0) | 2020.10.25 |
| 뇌파의 종류 뇌파란? (0) | 2020.10.16 |
| 흑마늘 효능 맛 좋아 (0) | 2020.10.15 |
| 양파즙 효능 고혈압 콜레스테롤 좋은 이유 (0) | 2020.10.15 |
이 글을 공유하기





